Logo West Knox | Dental veneers Knoxville TN | Westknox Dentistry

Oral Surgery

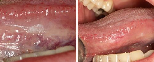
Clinical Results